El Pectus Excavatum es la malformación congénita más frecuente de la pared torácica y consiste en una depresión de la porción anterior de la pared del tórax que afecta al esternón, a los cartílagos costales y a las costillas óseas. La incidencia mundial se reporta desde 1:300 hasta 1:1,000 nacidos vivos, mientras que en México es de 1:1,000 con predominio en el sexo masculino en proporción 4:1.
Suele estar presente desde el nacimiento aunque se hace más evidente con el crecimiento del cuerpo durante la adolescencia. Se sabe que existe una transmisión hereditaria con un 15-40% con familiares cercanos con esa deformidad. Pero ¿Cuáles son sus síntomas? Para responder a ésta y a otras interrogantes más, nos dimos a la tarea de entrevistar al Dr. Gary Kosai Vargas Mendoza, reconocido Cirujano de Torax en la ciudad de Mérida, quien amplió nuestro conocimiento sobre este interesante tema.
Síntomas
Los síntomas físicos asociados al Pectus Excavatum son raros y dependen en gran medida de la severidad de la malformación. Los pacientes sintomáticos presentan con mayor frecuencia una disminución de la tolerancia al ejercicio en comparación con sujetos de similar edad y constitución. Existe una asociación con patologías como la escoliosis y el asma/hiperreactividad bronquial. En casos severos puede existir una disminución significativa de los volúmenes pulmonares y cardíacos. –destacó el especialista formado en Cirugía de Tórax en el Instituto Nacional de Enfermedades Respiratorias “Ismael Cosío Villegas”.
¿Un problema meramente estético?
La repercusión fundamental del Pectus Excavatum es el deterioro de la autopercepción de la imagen corporal de los pacientes. Tradicionalmente se ha considerado -por parte de pediatras, neumólogos y cirujanos- que el Pectus Excavatum era un problema meramente “estético”. Sin embargo, estudios recientes han confirmado y cuantificado mediante evaluaciones psicométricas que el Pectus Excavatum deteriora la función psicosocial y disminuye la calidad de vida de los pacientes con esta deformidad.
Al respecto, el Dr. Gary Vargas Mendoza destacó que los pacientes con Pectus Excavatum y afectación psicosocial suelen evitar cualquier situación que implique mostrar públicamente su tórax: participar en deportes de equipo o actividades lúdicas, exponerse en playas o piscinas, etc. Esta deformidad también puede afectar a sus relaciones sentimentales por miedo al eventual rechazo que podría suscitar su aspecto físico. Todos estos problemas se ven especialmente acusados durante la adolescencia, cuando la percepción de la imagen corporal tiene un importante papel en el establecimiento de una identidad independiente.
Varios estudios han confirmado que la corrección quirúrgica del Pectus Excavaum beneficia a los pacientes, objetivándose una mejora notable de su función psicosocial y su calidad de vida tras la intervención.
Tratamiento
El Dr. Gary Vargas Mendoza, certificado por el Consejo Mexicano de Cirugía de Tórax, explicó que existen diversos programas de “ejercicios” y musculación que se promocionan como beneficiosos para corregir el Pectus Excavatum. Lamentablemente la configuración del tórax óseo no se modifica con estos ejercicios y su utilidad real es escasa. También existe la terapia de vacío (Vacuum bell). Su aplicación se ejecuta mediante una campana que ejerce presión, a modo de succión, en la zona hundida. De esta forma se trabaja en su elevación. Esta técnica requiere de un seguimiento y diversas sesiones a lo largo del tiempo. Suele ser aconsejable en la infancia, aún en la etapa de crecimiento, son tratamientos prolongados y no siempre son efectivos.
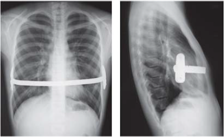
El procedimiento de Nuss: es una técnica muy poco invasiva. Se realiza una pequeña incisión para insertar una cámara y permitir al cirujano ver el interior del pecho. Entonces, a través de otras dos incisiones en cada lado del pecho, se inserta una barra de acero curvada debajo del esternón con la misión de invertir la depresión. No es visible desde el exterior y se mantiene durante dos a tres años para, finalmente, ser removido.
El procedimiento Ravitch: se realiza mediante una incisión en la zona media del pecho para retirar el cartílago. Después se colocan puntales de acero inoxidable para apoyar el esternón y se conectan las costillas correspondientes. Esto permite que el esternón sea levantado. Posteriormente, acabaran siendo eliminados en otra operación.
TECNICA DE NUSS (cirugía de mínima invasión)



El Dr. Gary Vargas Mendoza tiene amplia experiencia en cirugía de tórax de mínima invasión (videotoracoscopía), realiza el estudio y tratamiento quirúrgico de las enfermedades que comprometen el pulmón, la pleura, la tráquea, el mediastino, el diafragma, la estructura ósea y los tejidos blandos de la pared torácica. Además de algunas enfermedades del esófago en casos clínicos seleccionados.
Actualmente es miembro del Colegio de Neumólogos y Cirujanos del Tórax de Yucatán, SECT, Sociedad Española de Cirugía Torácica, ALAT, Asociación Latinoamericana de Tórax, Sociedad Mexicana de Cirujanos Torácicos Generales, European Thoracic Society.
Su consultorio #622 está ubicado en el Hospital «Faro del Mayab», en Calle 24 #280, Temozón Norte, Santa Gertrudis Copo, en Mérida, Yucatán. Cel. 9994 47 51 76.
Facebook: https://www.facebook.com/Dr.GaryVargas
Instagram: https://www.instagram.com/cirujanodetorax.mx/?hl=es-la
Sitio Web: http://cirujanodetorax.com.mx/

